
Finding the Best Orthodontist in Atlanta, GA: A Step-by-Step Guide
Choosing the right orthodontist is a major decision that can affect your smile, oral health, and self-confidence for years to come. Whether you’re considering traditional

Choosing the right orthodontist is a major decision that can affect your smile, oral health, and self-confidence for years to come. Whether you’re considering traditional

Learn about the pros, cons, and costs of traditional metal braces versus Invisalign aligners. They both straighten teeth to help you develop a beautiful smile

Complimentary Consultation Before you make a final decision on the kind of treatment and an orthodontist, you should do some initial research and set up a

If you have braces, you may be feeling a bit self-conscious when you’re smiling for pictures. Here are some tips for taking great pictures with

Great question! Tooth movement is your body’s natural response to light pressure applied by braces over a period of time (usually two years). Braces work

When you choose Invisalign aligners for your orthodontic treatment, there are a lot of advantages and one is your comfort. Braces pain is usually a bigger issue.

If you choose Invisalign aligners, the clear plastic removable aligners, you will have fewer adjustments to make than if you chose a more traditional treatment like

Brushing And Flossing With Braces Daily oral hygiene is critical to maintaining healthy teeth and gums during orthodontic treatment. You will notice that it requires

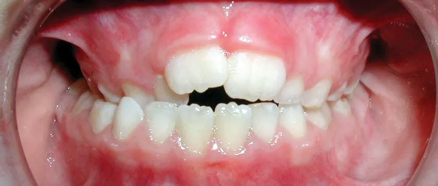
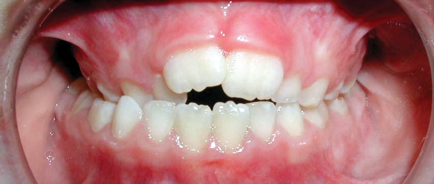
What Is A Crossbite? A crossbite is a form of teeth misalignment that occurs when a healthy bite is distorted and your teeth don’t fit